Implantatversorgung

Implantatversorgung

Zahnimplantate bieten eine zuverlässige und langlebige Lösung für einzelne fehlende Zähne oder zahnlose Kiefer. Wir planen und setzen Implantate individuell, angepasst an Ihre Kieferstruktur und ästhetischen Wünsche. Durch moderne Diagnostik, präzise Planung und enge Zusammenarbeit mit unserem Dentallabor gewährleisten wir sichere, funktionelle und natürliche Ergebnisse.

Bei zahnlosen Kiefern und Stegkonstruktionen:

Implantate bieten hier eine stabile und dauerhafte Lösung für zahnlose Kiefer, oft in Verbindung mit Steg- oder Teleskopkonstruktionen.

Bei zahnlosen Kiefer und Stegkonstruktionen
Bei zahnlosen Kiefer und Stegkonstruktionen

Bei nicht zahnbegrenzten Lücken:

Für größere Zahnlücken ohne Begrenzung durch Nachbarzähne eignen sich Implantate hervorragend, um Funktion und Ästhetik wiederherzustellen.

Bei zahnlosen Kiefer und Stegkonstruktionen
Bei zahnlosen Kiefer und Stegkonstruktionen

Bei zahnlosen Kiefern und Stegkonstruktionen:

Implantate bieten hier eine stabile und dauerhafte Lösung für zahnlose Kiefer, oft in Verbindung mit Steg- oder Teleskopkonstruktionen.

Bei nicht zahnbegrenzten Lücken

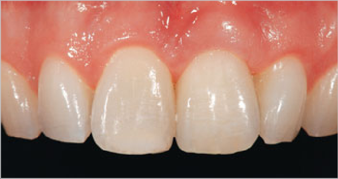
Bei Einzelzahnverlust:

Implantate ersetzen einzelne verlorene Zähne ohne Beschädigung der Nachbarzähne und ermöglichen ein natürliches Kaugefühl.

Bei Einzelzahnverlust