Wir fertigen individuell angepassten herausnehmbaren Zahnersatz, um fehlende Zähne funktional und ästhetisch optimal zu ersetzen. Ob klammerverankert, Geschiebeprothesen, Kombinationsersatz oder totaler Zahnersatz – wir beraten Sie ausführlich, um die beste Lösung für Ihre Bedürfnisse zu finden. Komfort, Haltbarkeit und ein natürliches Aussehen stehen bei uns im Vordergrund.
Aufhellung der Zähne für ein strahlendes Lächeln
Minimale Zahnpräparation bei Veneers
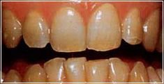
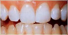
Vorher-Nachher Ergebnisse zeigen deutliche Verbesserung
Individuelle Sportmundschutze für Schutz beim Sport
Professionelle Reinigung von Prothesen für längere Haltbarkeit
Die professionelle Reinigung von Zahnprothesen sorgt für optimale Hygiene und verlängert die Lebensdauer Ihrer Prothese. Dabei werden harte und weiche Beläge gründlich entfernt, Gerüche neutralisiert und die Oberfläche geglättet. Regelmäßige Prothesenreinigung verhindert Entzündungen, Mundgeruch und bakterielle Beläge, die die Mundgesundheit beeinträchtigen könnten.
Computergestützte Bissregistrierung bei Muskel- oder Kieferschmerzen, chronischen Verspannungen, Kopfschmerzen oder eingeschränkter Unterkieferbeweglichkeit
Veneers sind dünne, individuell gefertigte Keramikschalen, die auf die Vorderseite der Zähne aufgebracht werden. Sie korrigieren ästhetische Makel wie Verfärbungen, kleine Zahnfehlstellungen, Absplitterungen oder ungleichmäßige Zahnformen. Dank minimaler Zahnpräparation bleibt die natürliche Zahnsubstanz weitgehend erhalten. Vorher-Nachher-Bilder zeigen die beeindruckende Wirkung.
Vorteile von Veneers:
Natürliche Optik
Langlebig und farbbeständig
Minimalinvasiv, zahnschonend
Sofort sichtbare ästhetische Verbesserung
Entfernung erkrankten Gewebes und Abtötung von Bakterien
Moderne flexible Titaninstrumente für gerade und stark gekrümmte Kanäle
Füllung mit Guttapercha oder moderner Thermafil-Methode
Dabei wird der Zahn von innen gereinigt, indem das erkrankte Gewebe entfernt wird und vorhandene Bakterien abgetötet werden. Anschließend wird die Zahnwurzel dicht gefüllt, damit keine weiteren Bakterien eindringen können.
Wie wird eine moderne Wurzelkanalbehandlung durchgeführt?
TAP®-Schiene hält den Unterkiefer während des Schlafens vor
Befreit die Atemwege ohne operative Eingriffe
Individuell angepasst vom Zahnarzt